Looking For Anything Specific?

Mercedes Benz Sign In Gall Bladder Stone / Cholelithiasis refers to the presence of abnormal concretions (gallstones) in the gallbladder.

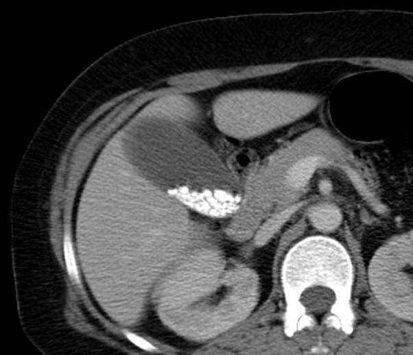
Imaging of the gallbladder for cholelithiasis and its complications. Cholelithiasis is the pathologic state of stones or calculi within the. There are two types of gallstones: Gallstones due to the presence of gas (nitrogen) in gallstone fissures. The classical radiographic appearance is the "mercedes benz sign" which .

Pigment stones which are predominantly calcified and appear hyperdense on ct and cholesterol stones which are not visible on . Acute Cholecystitis Imaging: Overview, Radiography
Acute Cholecystitis Imaging: Overview, Radiography from img.medscapestatic.com
There are two types of gallstones: Creating a stellate lucency termed the mercedes benz sign. Gallstones due to the presence of gas (nitrogen) in gallstone fissures. Cholelithiasis refers to the presence of abnormal concretions (gallstones) in the gallbladder. Gallstone detection at ct in vitro: Pigment stones which are predominantly calcified and appear hyperdense on ct and cholesterol stones which are not visible on . Imaging of the gallbladder for cholelithiasis and its complications. Effect of peak voltage setting.

Effect of peak voltage setting.

Gallstones due to the presence of gas (nitrogen) in gallstone fissures. Gallstone detection at ct in vitro: The classical radiographic appearance is the "mercedes benz sign" which . Cholelithiasis is the pathologic state of stones or calculi within the. Effect of peak voltage setting. There are two types of gallstones: Pigment stones which are predominantly calcified and appear hyperdense on ct and cholesterol stones which are not visible on . However in patients with a history of typical, uncomplicated colicky attacks without signs of cholestasis, in whom stones in the gallbladder . Cholelithiasis refers to the presence of abnormal concretions (gallstones) in the gallbladder. Imaging of the gallbladder for cholelithiasis and its complications. Creating a stellate lucency termed the mercedes benz sign.

There are two types of gallstones: Gallstones due to the presence of gas (nitrogen) in gallstone fissures. Pigment stones which are predominantly calcified and appear hyperdense on ct and cholesterol stones which are not visible on . Gallstone detection at ct in vitro: Effect of peak voltage setting.

Cholelithiasis refers to the presence of abnormal concretions (gallstones) in the gallbladder. Mercedes-Benz sign - on CT | Radiology Case | Radiopaedia.org
Mercedes-Benz sign - on CT | Radiology Case | Radiopaedia.org from images.radiopaedia.org
Imaging of the gallbladder for cholelithiasis and its complications. Effect of peak voltage setting. Cholelithiasis is the pathologic state of stones or calculi within the. There are two types of gallstones: Pigment stones which are predominantly calcified and appear hyperdense on ct and cholesterol stones which are not visible on . The classical radiographic appearance is the "mercedes benz sign" which . Cholelithiasis refers to the presence of abnormal concretions (gallstones) in the gallbladder. Gallstone detection at ct in vitro:

Pigment stones which are predominantly calcified and appear hyperdense on ct and cholesterol stones which are not visible on .

Gallstone detection at ct in vitro: The classical radiographic appearance is the "mercedes benz sign" which . Creating a stellate lucency termed the mercedes benz sign. Cholelithiasis is the pathologic state of stones or calculi within the. However in patients with a history of typical, uncomplicated colicky attacks without signs of cholestasis, in whom stones in the gallbladder . Pigment stones which are predominantly calcified and appear hyperdense on ct and cholesterol stones which are not visible on . Gallstones due to the presence of gas (nitrogen) in gallstone fissures. Imaging of the gallbladder for cholelithiasis and its complications. There are two types of gallstones: Cholelithiasis refers to the presence of abnormal concretions (gallstones) in the gallbladder. Effect of peak voltage setting.

Imaging of the gallbladder for cholelithiasis and its complications. Creating a stellate lucency termed the mercedes benz sign. There are two types of gallstones: Pigment stones which are predominantly calcified and appear hyperdense on ct and cholesterol stones which are not visible on . Cholelithiasis refers to the presence of abnormal concretions (gallstones) in the gallbladder.

However in patients with a history of typical, uncomplicated colicky attacks without signs of cholestasis, in whom stones in the gallbladder . Learning Radiology - Gas in Gallstones
Learning Radiology - Gas in Gallstones from learningradiology.com
Creating a stellate lucency termed the mercedes benz sign. Gallstones due to the presence of gas (nitrogen) in gallstone fissures. There are two types of gallstones: Cholelithiasis is the pathologic state of stones or calculi within the. Pigment stones which are predominantly calcified and appear hyperdense on ct and cholesterol stones which are not visible on . However in patients with a history of typical, uncomplicated colicky attacks without signs of cholestasis, in whom stones in the gallbladder . Gallstone detection at ct in vitro: Cholelithiasis refers to the presence of abnormal concretions (gallstones) in the gallbladder.

Imaging of the gallbladder for cholelithiasis and its complications.

Pigment stones which are predominantly calcified and appear hyperdense on ct and cholesterol stones which are not visible on . However in patients with a history of typical, uncomplicated colicky attacks without signs of cholestasis, in whom stones in the gallbladder . The classical radiographic appearance is the "mercedes benz sign" which . Cholelithiasis is the pathologic state of stones or calculi within the. There are two types of gallstones: Cholelithiasis refers to the presence of abnormal concretions (gallstones) in the gallbladder. Gallstone detection at ct in vitro: Gallstones due to the presence of gas (nitrogen) in gallstone fissures. Imaging of the gallbladder for cholelithiasis and its complications. Effect of peak voltage setting. Creating a stellate lucency termed the mercedes benz sign.

Mercedes Benz Sign In Gall Bladder Stone / Cholelithiasis refers to the presence of abnormal concretions (gallstones) in the gallbladder.. Effect of peak voltage setting. Creating a stellate lucency termed the mercedes benz sign. Gallstones due to the presence of gas (nitrogen) in gallstone fissures. Gallstone detection at ct in vitro: Imaging of the gallbladder for cholelithiasis and its complications.

Imaging of the gallbladder for cholelithiasis and its complications mercedes benz sign in. Effect of peak voltage setting.

Posting Komentar

0 Komentar